A thin acupuncture needle inserted into the lower back prompted a world of harm for one aged patient. Days later, she ended up in a sanatorium with a collapsed lung. But even though this case becomes uncommon, it is not precisely an exceptional occasion. Acupuncture isn’t always risk unfastened, and practitioners of the remedy may not always be familiar with the anatomy they are running with.
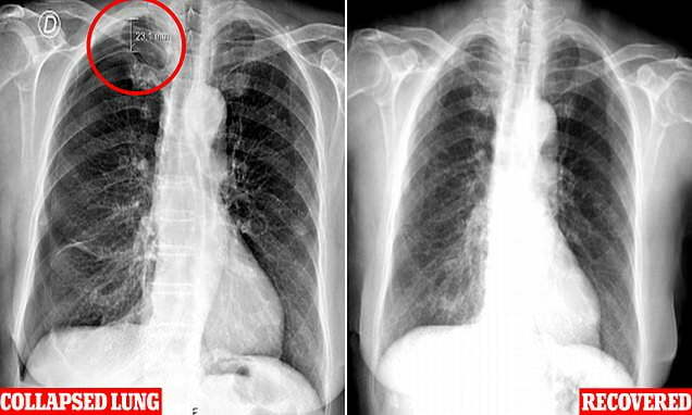
This is evident in the cutting-edge case of a 79-year-old lady from Portugal, currently pronounced via medical doctors from the Centro Hospitalar Universitário de Lisboa Central. The elderly female was first confirmed at the health center with moderate breathing difficulties. An X-ray quickly found the cause – the bottom of her proper lung had been indented using a distance of two. In a condition known as pneumothorax, three centimeters (approximately an inch) is usually called a “collapsed lung”.

Lungs do not tend to collapse in on their personal. For this to occur, air desires to go into the hollow pleural space – the gap between the lung and the chest wall. Sometimes, this air can leak out from a broken or diseased lung. In this example, the motive becomes found to be a skinny whisper of a needle briefly inserted into the affected person’s return days before treatment of persistent back pain. Acupuncture is generally promoted as a historical Chinese medical remedy capable of easing various discomforts, treating ailments, or selling fitness and fertility.
While it may contain more than a few methods – including modern touches, including the application of strength, ultrasound, lasers, or even bee stings – most nonetheless center on the insertion of metallic needles into the pores and skin at key factors of the body, the actual age and origins of the practice are disputable, just as maximum specified benefits had been determined beneath medical scrutiny. When it involves many particular claims, including enhancing probabilities of conceiving in IVF, poking the skin with needles would not help. As for treating aches and other non-public discomforts, the evidence isn’t always overwhelming, hovering someplace among ‘might be something to it in some instances’ and ‘if we have to look this hard, is it all that useful?
Not that questionable clinical proof has impacted the popularity of these needles. Along with different sorts of traditional Chinese remedies, acupuncture is swiftly becoming a mainstream shape of healthcare around the globe. Part of the exercise’s appeal is that it looks like a low-danger, secure alternative to taking medicinal drugs or different styles of medical intervention. While genuine for the maximum part, complications can and do stand up. Most are distinctly minor complaints, which include bleeding and localized aches. But greater severe lawsuits are not unknown. Although a German evaluation of almost 230,000 acupuncture patients’ lower back in 2009 located the first two examples of pneumothorax, a WHO consideration of Chinese medical papers found 201 instances of it in the literature in the last 30 years.
In this situation, the needle has been inserted into a space close to the patient’s shoulder blade wherein the lung can come inside centimeters (less than an inch) of the pores and skin floor. Get the attitude and intensity wrong; a needle can pop the hollow pleural space. The female’s remedy required the extremely painful insertion of a chest tube with nearby anesthesia and numerous days of observation at the same time as on oxygen and painkillers. The correct information is she survived the ordeal. As it became her first acupuncture reveal, we wouldn’t be amazed if she would not go to the needles.
Even when it’s so uncommon as this occasion, sufferers have the right to determine if narrow dangers are worth the gamble. This poor patient failed to recognize pneumothorax changed into a possible aspect effect, and there may be a danger her acupuncturist failed to, either. Providers of any medical remedy – evidence-based or alternative – must be knowledgeable and make their patients conscious.
Acupuncturists need to know the anatomical structures and layers placed beneath all the acupuncture factors, mainly for excessive-risk acupuncture factors,” the doctors recommend in their case observation. We’d all like alternatives to unstable healthcare. Unfortunately, we cannot find the technology to know the chances of headaches and ask if we are organized for the worst.
